検査の紹介
当院でおこなっている検査の一部をご紹介します。
※掲載画像はすべて当院で行われた検査画像です
| 名称 | 検査内容 |
|---|---|
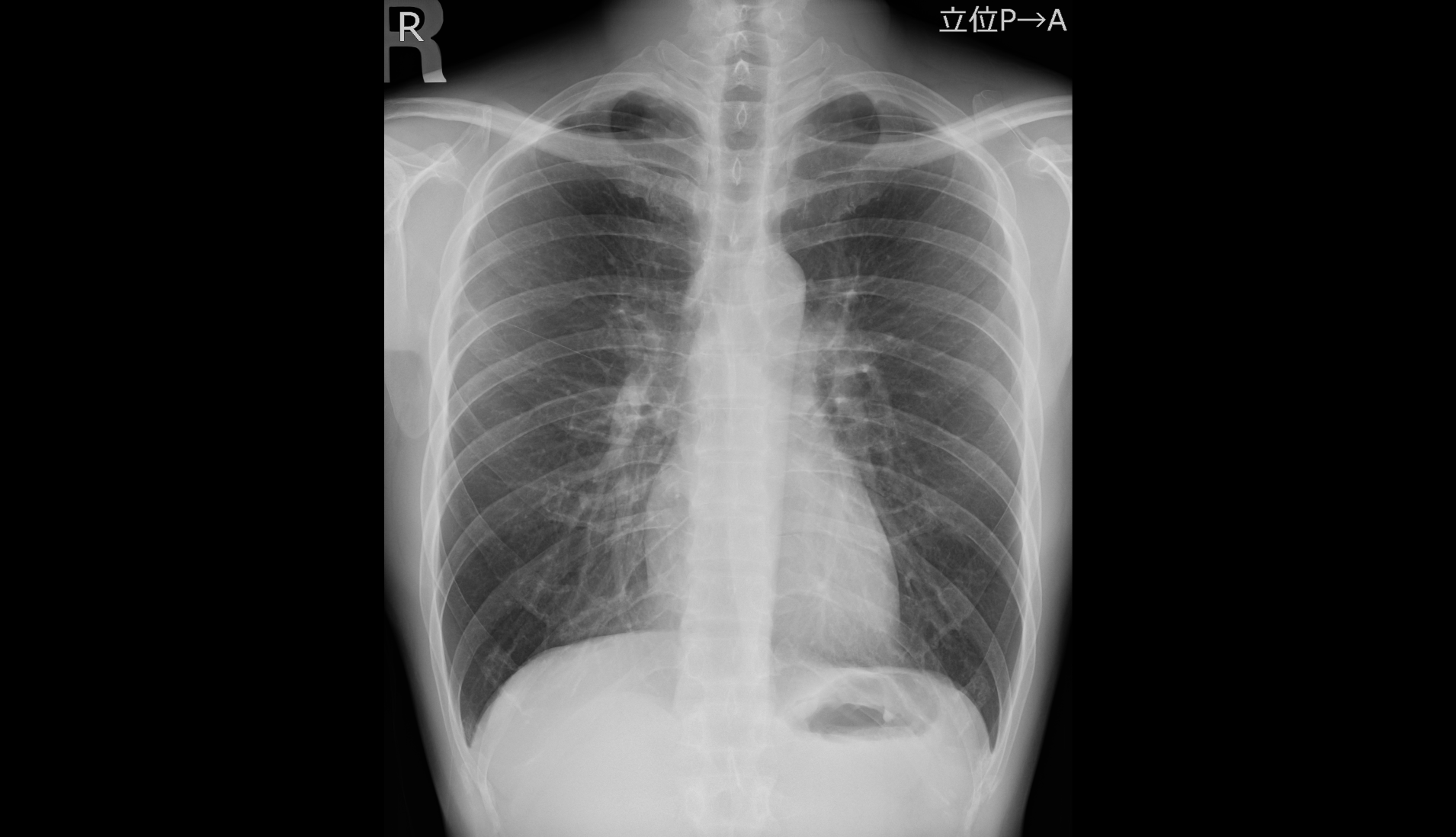
| 一般撮影 |
胸部や腹部、骨などの写真を撮影します。
|
| 回診用X線撮影装置 | レントゲン室以外の場所(救急外来や病棟)でレントゲン撮影を行います。 |
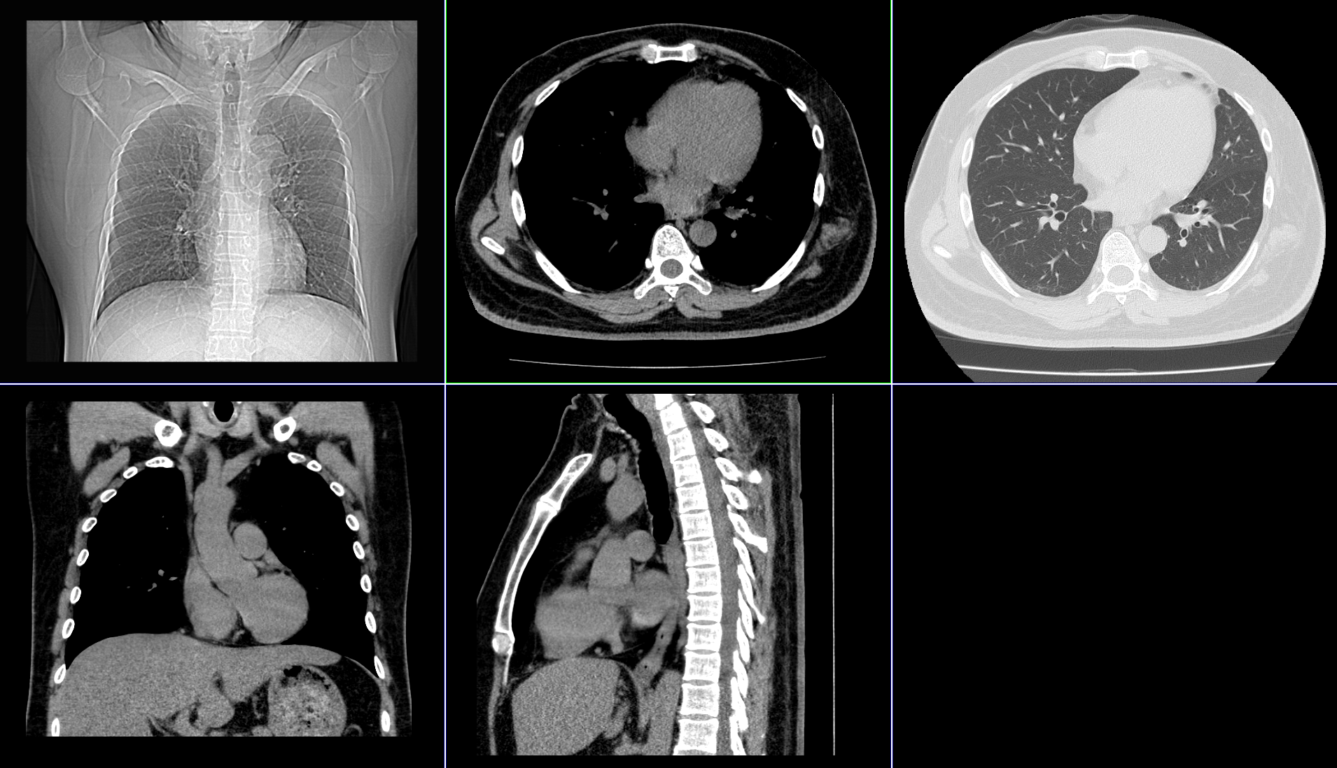
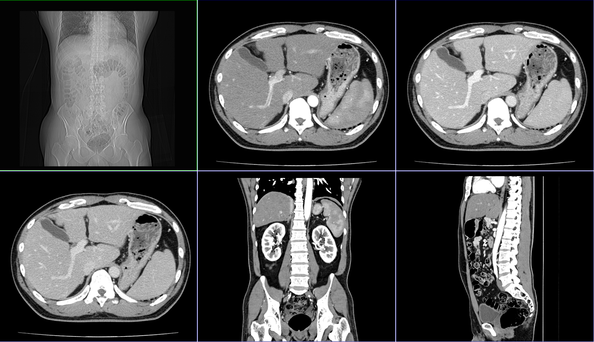
| 単純CT検査 | X線を使用して体の輪切りの写真を撮影します。
|
| 造影CT検査 |
造影剤を使用して撮影します。血管や病変部位など、より詳しい情報が得られます。 この情報をもとに、3D画像等の画像を作ることも可能です。 |
| 冠動脈CT検査 |
造影剤を使用し、心臓の血管(冠動脈)を撮影します。心臓は拍動しているので、心電図と同期させ高速に撮影します。 撮影した画像をワークステーションで処理することで、冠動脈の3D画像を作成したり、冠動脈の状態を確認できます。主に冠動脈の狭窄が疑われる患者様に行います。 |
| 訪問レントゲン撮影 | 来院が困難な患者様のご自宅や、入所されている施設へ訪問しレントゲン撮影を行います。 |





